
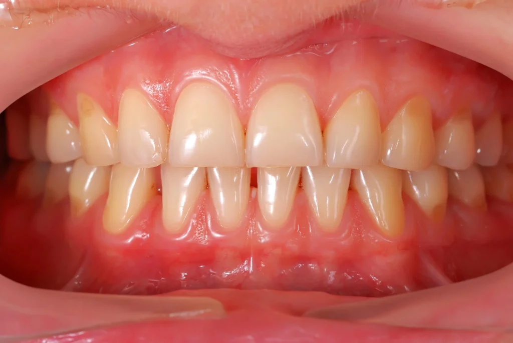
Gum health plays a bigger role in your smile than many people realize. Bleeding, tenderness, or gum recession often seem minor at first, so it is easy to assume a routine cleaning will solve the problem.
Over time, these symptoms can quietly progress if left unaddressed. For patients searching for a periodontist in Pembroke Pines, the real question is whether those signs point to something that needs specialized care rather than a standard dental visit.
Early evaluation can help prevent long-term damage and protect overall oral health.

Occasional bleeding can happen if you brush too hard or floss inconsistently. When bleeding continues despite good oral hygiene, it may signal gum disease. Persistent bleeding is often one of the earliest signs that the gums need more than routine care.
Healthy gums should feel firm and comfortable. Swelling, redness, or soreness that does not fade may indicate inflammation below the surface. A periodontist focuses on the structures that support your teeth, allowing deeper evaluation and targeted treatment when needed.
Gum recession exposes more of the tooth and can increase sensitivity. It also raises the risk of decay and tooth loss. A periodontist can determine whether recession is related to gum disease, bite issues, or brushing habits, then recommend solutions to protect your smile.
Chronic bad breath is not always a hygiene issue. Bacteria trapped beneath the gumline can cause odors that brushing alone cannot address. Specialized periodontal care targets these hard-to-reach areas to restore gum health and freshness.
Teeth should feel stable. Movement or shifting can be a sign that the supporting bone and gum tissue are compromised. A periodontist evaluates bone levels and gum attachment to help prevent further damage and preserve natural teeth when possible.
Patients with previous gum disease, diabetes, or a smoking history may face higher risks. Periodontal maintenance focuses on prevention and monitoring, helping reduce flare-ups and long-term complications.
Gum disease has been linked to conditions such as heart disease and diabetes. Treating gum inflammation supports more than oral health.
A periodontist looks at the connection between gum health and overall wellness, helping patients protect their smile and their health.

Knowing when to seek specialized care can make a lasting difference. A periodontist offers advanced training and tools focused on gum and bone health. If you notice ongoing symptoms or changes in your gums, a consultation can bring clarity and peace of mind.
The team at Village Square Dental is ready to help you understand your options and take proactive steps toward healthier gums. Schedule a visit today to protect your smile with care designed around your needs.